Ga-68-Dotanoc
Ga-68-DOTANOC-PET is a nuclear medicine procedure that can be used to image neuroendocrine tumors (NET). .
Indications:
- Staging and follow-up of neuroendocrine tumors of the intestine or pancreas (NET) and carcinoids of the lung
- Unclear findings in skeletal scintigraphy, CT or MRI
- Evaluation of treatment indication and follow-up of Lu-177-dotatate therapy
Preperation for examination: none
Procedure of the examination:
- Consultation with the doctor to explain any uncertainties regarding the examination
- Injection of the radiopharmaceutical (possibly administration of furosemide)
- Quiet positioning for 60 minutes
- Preparation of the images
- The findings are sent to the requesting doctor in writing as soon as possible
Radiopharmaceutical used:
- Ga-68-DOTANOC (Somatostatin-Rezeptor Agonist)
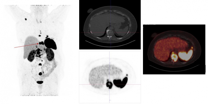
Exemplary case study on Ga-68-DOTANOC-PET/CT diagnostics:
