UNIVERSITY DEPARTMENT OF NEUROLOGY

Bachelor Thesis

  • Interdisciplinary Bachelor/Master thesis in the domain of "Clinical Decision Support"

BachelorMaster Clinical decision support

Clinical decision-making draws on clinical guidelines that are evidence-based and contain recommendations from an expert panel. Within the proposed work, a prototype is to be developed that enables the “translation” of a clinical guideline into an algorithm for decision support. The prototype should be operable, editable, validatable and available in a digital version.

For a more detailed description of the offered thesis, please download the flyer.

 

  • Interdisciplinary Bachelor thesis in the domain of "Automated Segmentation of WMH"

BA WMH Segmentation

White matter hyperintensities (WMHs) are among the signs of vascular dementia on conventional MRI. In this thesis, relevant automated algorithms for segmentation of WMHs shall be compared for their performance on a clinical cohort. 

For a more detailed description of the offered thesis, please download the flyer.

 

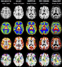
  • Interdisciplinary Bachelor/Master thesis in the domain of "Atlas Generation"

ANT-2

Within this project, clinically acquired magnetic resonance imaging (MRI) brain data of the past years is processed retrospectively. Using these data the primary task is to create a brain template with the Advanced Normalization Tools (ANTs) which will serve as a reference in diagnosis in neurodegenerative and psychiatric diseases. Beyond this, further tasks may vary depending on the individual skillset and type of work. 

For a more detailed description of the offered thesis, please download the flyer.

 

Last Modification: 08.09.2022 - Contact Person:

Sie können eine Nachricht versenden an: Webmaster
Sicherheitsabfrage:
Captcha
 
Lösung: